Efekty leczenia
Stomatologia estetyczna
Leczenie pani Ewy


Pani Ewa od dawna myślała o poprawie estetyki swojego uśmiechu. Skarżyła się głównie na kolor zębów, w szczególności szare przebarwienia wokół jedynek oraz widoczne dziąsła podczas uśmiechania.
W pierwszej kolejności technicy w laboratorium protetycznym stworzyli prowizoryczny model przyszłych koron, biorąc pod uwagę kształt ust i rysy twarzy pani Ewy. Następnie, przed oszlifowaniem zębów, zostały wymodelowane korony tymczasowe w ustach pacjentki, dzięki czemu mogła ona zobaczyć i poczuć przewidywane rezultaty leczenia jeszcze przed jego rozpoczęciem. Kolejnym etapem było wydłużenie koron klinicznych, po którym pani Ewa od razu zauważyła znaczną poprawę estetyki.
Po wykonaniu licówek, koron i mostów pacjentka stwierdziła, że spełniła swoje marzenie o pięknym uśmiechu.
Leczenie pani Karoliny


Pani Karolina zgłosiła się do dr Agnieszki Żęcin ze względu na widoczne przerwy między górnymi zębami, które wpływały na harmonię uśmiechu. Z analizy estetycznej zdjęć i modeli wynikało, że konieczne będzie wykonanie czterech licówek.
Przed przystąpieniem do szlifowania zaprojektowano jednak dwa prowizoryczne rozwiązania w ustach pacjentki. Dzięki temu mogła ona ocenić przewidywany efekt końcowy po wykonaniu dwóch lub czterech licówek. Ostatecznie przeprowadzono wybielanie wszystkich zębów oraz zacementowano dwie licówki, które przywróciły harmonię uśmiechu i spełniły oczekiwania pani Karoliny.
W tym przypadku wykonanie dwóch zamiast czterech licówek u młodej osoby pozwoliło ograniczyć inwazyjność zabiegu z pełną satysfakcją ze strony pacjentki.
Leczenie pana Marka


Pan Marek zgłosił się do naszego gabinetu ze względu na liczne problemy związane z estetyką uśmiechu. Zęby były nierównej wielkości, przebarwione i posiadały wiele nieładnych wypełnień z nawisami.
Podczas leczenia dr Agnieszka Żęcin przywróciła prawidłowy kształt i funkcję zębów bocznych poprzez wykonanie nakładów i nowych wypełnień. Poprawę estetyki uśmiechu uzyskano dzięki wykonaniu licówek porcelanowych na zęby przednie górne i dolne.
Leczenie pani Hanny


Pani Hanna zgłosiła się do naszej kliniki ponieważ nie była zadowolona z wyglądu swoich zbyt krótkich i przebarwionych górnych zębów. Podczas pierwszej sesji zdjęciowej widoczne było, że uśmiechając się pacjentka nawykowo zakrywa zęby górną wargą.
W pierwszym etapie zaprojektowano prowizoryczne korony w ustach pacjentki, dzięki czemu miała ona możliwość zobaczyć i poczuć przewidywany efekt końcowy. Następnie dr Agnieszka Żęcin we współpracy z technikami wykonała 6 licówek pełnoceramicznych przywracając pani Hannie naturalny uśmiech i pewność siebie.
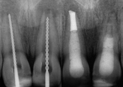
Leczenie kanałowe
Leczenie pana Karola
Pan Karol został skierowany do naszego gabinetu celem leczenia bólu zęba trzonowego w żuchwie, który szczególnie nasilał się w nocy.
Lekarz prowadzący zdiagnozował nieodwracalne zapalenie miazgi jednak nie podjął się leczenia ze względu na duże zakrzywienie korzenia.
Dr Agnieszka Żęcin przeprowadziła leczenie kanałowe pod mikroskopem podczas jednej wizyty, po której ból całkowicie ustąpił.

Leczenie pana Sławomira
Pan Sławomir został skierowany z innego gabinetu w celu usunięcia z kanału bardzo długiego fragmentu złamanego narzędzia.
Dzięki dużemu doświadczeniu i użyciu specjalistycznych narzędzi oraz powiększenia w mikroskopie dr Agnieszka Żęcin usunęła złamane narzędzie.
Pacjent uniknął usunięcia zęba, a wizyty kontrolne potwierdzają, że ząb przez wiele lat pozostaje bezobjawowy i pełni swoją funkcję.

Leczenie pani Krystyny
Pani Krystyna zgłosiła się do naszego gabinetu 20 lat temu z powodu bólu prawej, dolnej szóstki.
Zdjęcie RTG pokazało bardzo rozległe zmiany wokół wierzchołków korzeni, co oznaczało niepewne rokowanie. W tamtym okresie takie zęby zazwyczaj kwalifikowano do usunięcia, jednak wspólnie z pacjentką podjęliśmy decyzję o leczeniu.
Dr Agnieszka Żęcin przeprowadziła powtórne leczenie kanałowe, a następnie ząb został odbudowany wkładem i koroną. Od 20 lat ząb pozostaje bezobjawowy, a na zdjęciach kontrolnych widać zdrową kość wokół korzeni.

Leczenie pana Marka
Pan Marek zgłosił się do naszego gabinetu celem leczenia zębów.
Po wykonaniu zdjęcia pantomograficznego została stwierdzona resorpcja w górnej jedynce, która nie dawała żadnych objawów, a prowadzi do nieodwracalnego zniszczenia korzenia i utraty zęba. Jej leczenie wymaga dużego doświadczenia klinicznego.
Dr Agnieszka Żęcin przeprowadziła zabieg stosując odpowiednie preparaty lecznicze oraz specjalistyczne narzędzia endodontyczne. Następnie korzeń został wzmocniony poprzez zacementowanie wkładu z włókna.

Leczenie zębów po urazie
Leczenie Karoliny
Dwunastoletnia Karolina zgłosiła się do naszego gabinetu z bólem górnych jedynek spowodowanym powikłaniami po leczeniu urazu, który nastąpił 2 lata wcześniej.
Po rozmowie z mamą pacjentki każdy ząb został przeleczony inną techniką ze względu na odmienny stan kości wokół korzeni. Dr Agnieszka Żęcin wypełniła prawą jedynkę biozgodnym materiałem, a w lewej przeprowadziła innowacyjny zabieg rewaskularyzacji.
Obecnie pełnoletnia Karolina wciąż posiada swoje własne jedynki górne, które nie dają żadnych objawów.
.jpg)
Leczenie pani Katarzyny
Pani Katarzyna doznała urazu lewej górnej jedynki podczas upadku. Doszło do złamania korzenia zęba, co spowodowało jego większą ruchomość. W takim wypadku kluczowe jest dobranie odpowiedniego sposobu i czasu szynowania zęba celem uniknięcia powikłań.
Dr Agnieszka Żęcin nie rozpoczęła leczenia kanałowego ponieważ pomaga to w prawidłowym gojeniu szczeliny złamania. Ząb został zszynowany różnymi technikami, a pacjentka zgłaszała się na regularne wizyty kontrolne.
Po 15 latach ząb pozostaje żywy i bezobjawowy, a pani Katarzyna zachowała swój ząb i uniknęła drogiego leczenia implantologicznego.

Leczenie Michała
Ośmioletni Michał doznał urazu górnej lewej jedynki na lekcji WF-u. Leczenie zostało rozpoczęte w innym gabinecie, a następnie pacjent został skierowany do dr Agnieszki Żęcin.
Po rozmowie z mamą pacjenta i omówieniu różnych metod leczenia podjęto decyzję o wypełnieniu zęba biozgodnym materiałem. Ze względu na niezakończony rozwój korzenia i szeroki wierzchołek leczenie kanałowe wymagało dużego doświadczenia i zastosowania zaawansowanych technologii.
Zdjęcia kontrolne wykonane 6 lat później nie wykazują żadnych powikłań.
.jpg)
Leczenie Alicji
Piętnastoletnia Alicja doznała urazu górnych zębów podczas upadku na rowerze. Po konsultacji telefonicznej mama pacjentki wróciła na miejsce zdarzenia i odnalazła całkowicie wybitą lewą jedynkę. Podczas badania stwierdzono również poprzeczne złamanie korzenia w prawym siekaczu.
Dr Agnieszka Żęcin wykonała replantację utraconego zęba oraz szynowanie zębów przednich. Następnie górne siekacze zostały przeleczone kanałowo przy użyciu biozgodnych materiałów. Ze względu na rozległość urazu prawdopodobnie w przyszłości konieczne będzie wykonanie implantu jednak obecnie, 2 lata po wypadku Alicja posiada swoje naturalne jedynki, które nie odbiegają wyglądem od pozostałych zębów.

